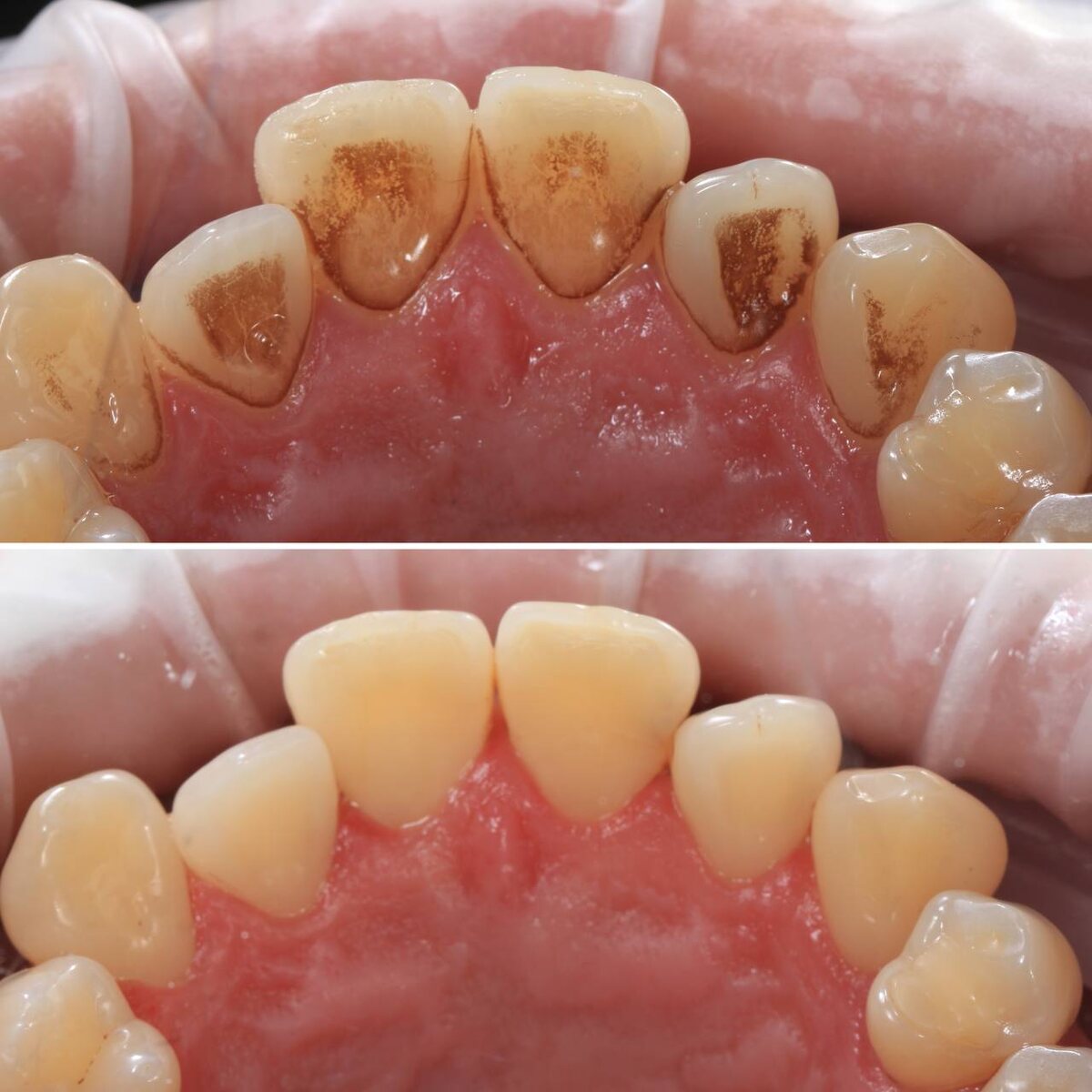
Желтый и темный налет на зубах — это не только эстетическая проблема, но и сигнал о недостаточной гигиене полости рта. Такие загрязнения появляются благодаря воздействию продуктов, таких как кофе и чай, а также из-за курения. Со временем эмаль зубов начинает терять свой блеск, и зубы приобретают неопрятный вид.
Причины появления налета
Основные факторы, способствующие образованию налета на зубах:
- Пигменты из еды и напитков: Многие продукты содержат натуральные красители, которые легко впитываются в пористую поверхность зубов, создавая стойкий налет.
- Неправильная гигиена: Даже при регулярной чистке зубов налет может оставаться в труднодоступных местах — между зубами, в трещинах и ямках. Следует придерживаться правильной техники чистки и использовать дополнительные средства, такие как зубная нить.
Профилактика налета
Чтобы сохранить зубы белыми и здоровыми, рекомендуется следовать некоторым простым советам:
- Правильный выбор средств гигиены: Качественная зубная паста, подходящая для вашего типа зубов, поможет предотвратить образование зубного налета.
- Регулярные визиты к стоматологу: Профессиональная чистка зубов хотя бы раз в полгода значительно снизит риск накопления налета и камней.
Кроме того, важно помнить, что забота о зубах — это не только уход за белизной эмали, но и здоровье всего организма. Соблюдая правильную гигиену полости рта, можно избежать неприятных последствий и сохранить здоровье зубов на долгие годы.































