С пандемии «короны» не могла вылечиться липчанка
Она длительное время температурила и проходила сложные обследования, но все было безрезультатно.
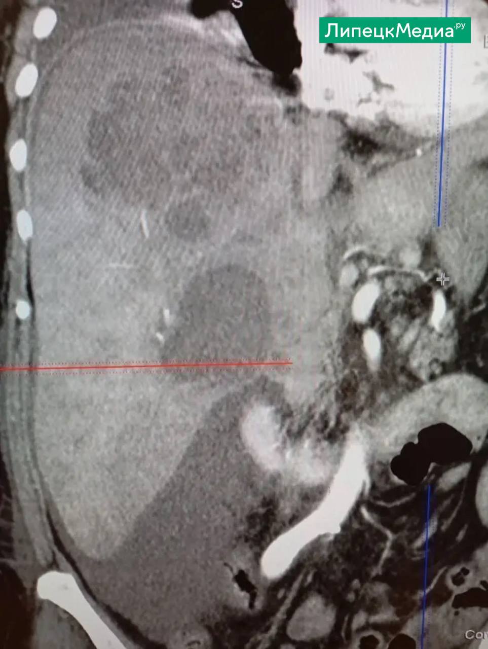
Диагноз был поставлен позже и звучал угрожающе – киста печени, осложненная нагноением.
На этой неделе врачи городской больницы «Липецк – Мед» сделали пункционное удаление гноя. Объем составил 500 миллилитров.
Женщине предстоит дальнейшее лечение. Но главное, что появился шанс на полное выздоровление.







































